
前几天看到新闻,一位90后因为刷牙的时候一颗门牙脱落,到医院就诊的时候医生告知上排牙已全部不能保留时,她如同遭遇晴天霹雳,想着自己至今连对象都没处,没了半口牙的未来该怎么办?

一个28岁的姑娘,张嘴却是一口如82岁老太太般的牙齿,大部分因不同程度的松动而丧失咀嚼功能。牙齿这样结果的罪魁祸首就是牙周病!比如常见的刷牙时出血、牙龈红肿等,若不及时治疗可蔓延至全口牙,导致严重的牙周病。
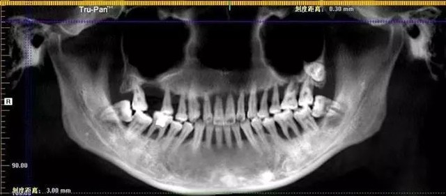
这位28岁的姑娘其实6年前就出现了两颗牙松动,看过牙医后她只是使用了消炎药,并未当回事,直到6年后门牙脱落再就诊,牙龈和牙槽骨严重萎缩,牙根都暴露在外面,给后续的种牙也增添了不少的难度。
什么是牙周病?
牙周病是指发生在牙支持组织(牙周组织)的疾病,包括仅累及牙龈组织的牙龈病和波及深层牙周组织(牙周膜、牙槽骨、牙骨质)的牙周炎两大类。牙周疾病是常见的口腔疾病,是引起成年人牙齿丧失的主要原因之一,也是危害人类牙齿和全身健康的主要口腔疾病。
牙周病有哪些危害?
牙周病的早期症状不易引起重视,造成牙周组织长期慢性感染,炎症反复发作,不仅损害口腔咀嚼系统的功能,还会严重影响健康。
主要临床表现是牙龈炎症、出血、牙周袋形成、牙槽骨吸收、牙槽骨高度降低、牙齿松动、移位、咀嚼无力,严重者牙齿可自行脱落或者导致牙齿的拔除。
1.可有疼痛,溢脓,口臭等并发症状。
2.局部的并发症:牙周脓肿,牙齿松动等等。
3.慢性炎症其反复发作渐进性发展,临床上主要以牙槽骨吸收牙齿松动为症状,渐而引起咬合创伤使牙齿移位,最后造成牙齿的缺失,剩余牙支持力差,造成修复治疗困难。
导致牙周病的原因有哪些?
1、牙菌斑:是指粘附于牙齿表面的微生物群,不能用漱口、水冲洗等去除,是引起牙周病的主要致病因素。
2、牙石:是沉积在牙面上的矿化的菌斑。牙石对牙周组织的危害,主要是它构成了菌斑附着和细菌滋生的良好环境。牙石本身妨碍了口腔卫生的维护,从而更加速了菌斑的形成,对牙龈组织形成刺激。
3、创伤性咬合:咬合时若咬合力过大或方向异常,超越了牙周组织所能承受的合力,致使牙周组织发生损伤,称为创伤性咬合。创伤性咬合包括咬合时的早接触、牙合干扰、夜间磨牙等。
4、还有食物嵌塞、不良修复体、口呼吸等因素也促使牙周组织的炎症过程。
如何预防牙周病?
1、关键是控制和消除牙菌斑,目前最有效的方法是每天坚持正确刷牙,按摩牙龈,促进牙龈血液循环。
2、除去局部刺激因素,清洁牙齿和刮除牙周的牙石、牙垢,矫正不良修复体及矫治食物嵌塞,基本可治愈。
3、补充含有丰富维生素C的食品,可调节牙周组织的营养,有利于牙周炎的康复。
4、牙周病发病后应积极治疗,初期疗效尚好,晚期疗效较差,可丧失牙齿。
当然,如果你刷牙的方式不对或者力度、时间不对的话很难呵护好牙齿,如果你想要便捷的方式,不如看看下面推荐的电动牙刷吧,给你更好的呵护!
本文属于原创文章,如若转载,请注明来源:28岁的姑娘半口牙没了 到底是什么害了她?//jd.zol.com.cn/706/7067558.html































